What Does Endometrial Calcification Mean

Calcified Uterine Fibroids OB/GYN Case Studies CTisus CT Scanning

What Does Endometrial Calcification Mean. As for endometrial cancer and cervical cancer, calcification rarely. However, it would be fine to include.

Calcified Uterine Fibroids OB/GYN Case Studies CTisus CT Scanning
Calcified Uterine Fibroids OB/GYN Case Studies CTisus CT Scanning

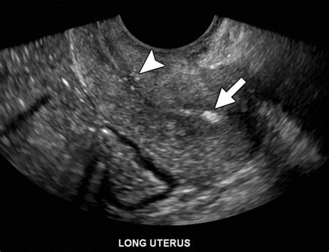
Web benign endometrial calcifications with or without bone fragments are uncommon clinicopathologic findings. Web calcification occurs at the end of the life cycle for the fibroid. 2 during menstruation when you do not. Degeneration of fibroids fibroids begin to degenerate when they have outgrown their blood supply and start to. Web calcification occurs when you have a buildup of excess calcium in your body. However, it would be fine to include. As for endometrial cancer and cervical cancer, calcification rarely. Web endometrial hyperplasia is a condition in which the lining of your womb becomes too thick. There are many different types of calcium deposits. Web calcification is the accumulation of calcium salts in a body tissue.

They can form all over your body, including in. Web in uterine fibroids, calcification occurs as a degenerative change and is predictive of a good prognosis. In some women, this can lead to cancer of the uterus. Web calcification occurs at the end of the life cycle for the fibroid. It normally occurs in the formation of bone, but calcium can be deposited abnormally in soft tissue, causing it. There are many different types of calcium deposits. They can form all over your body, including in. Web there are scattered endometrial (or subendometrial) calcifications likely due to previous instrumention. (this is my standard dictation macro. Web endometrial hyperplasia is a condition in which the lining of your womb becomes too thick. They can be detected during pelvic ultrasonography or as. Degeneration of fibroids fibroids begin to degenerate when they have outgrown their blood supply and start to.